牙齿美容


一.这样的灿烂笑容您想拥有吗?

牙齿美容,就是给不好看的牙穿一件漂亮“衣服”,让它们又白又齐!牙齿的形状和颜色完全根据自己的需要量身制作。

根据美国牙齿美容研究会(American Academy of Cosmetic Dentistry)的一项全国性调查显示,99.7%的成人相信一个人是否拥有灿烂笑容是一项重要的社交评价指标。96%的成人相信灿烂的笑容能博得他人更多的好感。74%的成人感到不灿烂的笑容会使事业成功的机会大打折扣。当被问及什么因素最能改善您的笑容时,得到的回答几乎全是美白的牙齿!

二.影响灿烂笑容的数种情况及解决方案(具体请与医生联系)

状况一:牙歪斜、四环素牙的解决方案:

状况二:牙齿发黄的解决方案

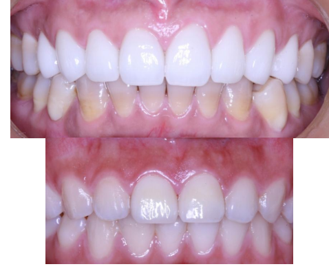
状况三:严重四环素牙和蛀牙的解决方案:

状况四:旧烤瓷冠发黑、牙齿短和露牙床的解决方案:

状况五:旧的烤瓷牙发灰的解决方案:

状况六:旧修复体脱落的解决方案:

状况七:四环素牙影响笑容的解决方案:

状况八:严重牙周病引起牙齿松动变长的解决方案:

状况九:氟斑牙影响笑容的解决方案:

状况十:严重四环素牙的解决方案:

状况十一:不好看的旧烤瓷牙换新的解决方案:

状况十二:前牙不白的解决方案:

状况十三:发黑显假旧烤瓷牙的解决方案:

状况十四:前牙有缝的解决方案:

状况十五:前牙蛀牙的解决方案:

状况十六:“瓜子豁”的解决方案:

三. 牙齿美容团队合作的必要性

牙齿美容对修复医生的要求非常高。美容修复医生必须集符合时尚潮流的美学修养、现代科学知识和精湛的修复技术于一身。牙齿美容的效果取决于牙齿的颜色、牙齿的形状和排列、以及牙齿与牙龈、嘴唇、面型和肤色的和谐关系。美容修复医生必须充分了解病人的要求以及病人的生活、工作和社交环境,并科学的判断病人牙齿现在的健康和美学状况,再结合病人的性别和年龄、现代修复技术以及病人的经济状况给患者提出一个最佳的美容修复方案。在美容修复的实施过程中,修复医生还必须:

准确判断美容牙齿的牙周状况,对有牙周病的患牙,必须经过彻底的牙周专科治疗,在牙周健康比较稳定的情况下才能开始修复治疗;对有牙龈线不齐或龈微笑(Gummy Smile)等能影响美学效果的情况应告知病人,进行必要的牙周美容手术(牙龈成形术或冠延长术)以纠正这些不足;在修复过程中,医生必须处理好修复体与牙周的关系;修复完成后,教会病人如何对美容修复的牙进行家庭护理,并追踪患者进行定期的牙周复查。

牙齿美容与牙周维护密不可分,牙齿美容是团队合作,不仅需要技术精湛的修复医生,还需要有实力的牙周专科医生进行配合。

牙齿美白的方法主要包括牙齿漂白、贴面和各种全瓷牙冠。究竟哪一种美白方法更加适用于您,应该跟您的牙齿美容医生商量。 

● 牙齿漂白

指用不同浓度的胶状漂白剂(一般为过氧化氢),涂抹于牙齿表面,以漂白牙齿表面及浅层的色素沉着,牙齿漂白的效果与牙齿发黑的程度、漂白剂的浓度以及漂白的时间长短有关。牙齿漂白的试剂有家庭装和医用装,一般都需要在医生的指导和帮助下才能完成。其优点是见效快,费用低。缺点是只对某些比较轻度的不白牙齿有效;漂白过程中会有不同程度的过敏反应;漂白效果不是永久的,需要反复漂白才能保持效果。

● 树脂贴面

在原有牙齿的表面覆盖一层白色树脂,以遮盖原有牙齿的颜色。树脂贴面由医生在患者口内直接完成。特点是速度快,当天就能完成。费用介于牙齿漂白和瓷贴面或冠之间。缺点是随着时间的延长,树脂可能会发生变色、脱落的情况。美白效果不如瓷贴面或冠漂亮。

● 瓷贴面或瓷冠

在原有牙齿的表面覆盖一层全瓷贴面或全瓷冠,以遮盖原有牙齿的颜色或缺损。瓷贴面或瓷冠的美白效果是最好的,但费用也是最高的。瓷贴面和瓷冠都可矫正轻度牙齿排列不齐并明显改善牙齿的颜色和形状。其颜色和形状完全根据患者的要求量身做。贴面和冠都需要磨除一层很薄的牙体组织,贴面磨除的牙体组织较冠少一点,但效果不如瓷冠改善效果好。